м.Курская (5 метров!)
м.Белорусская (35 метров!)
м.Китай-город (50 метров!)

Пяточная шпора и
индивидуальные ортопедические стельки

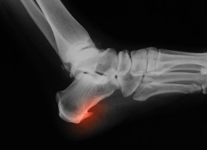
Пяточная шпора – это кальцинированный нарост на пяточной кости, так называемый остеофит. Он может образоваться в результате травмы, ревматизма, плоскостопия, а также больших физических нагрузок, в результате чего нагрузка большей частью оказывается в области стопы. В эти моменты, сухожилия пятки надрываются и травмируются, при этом воспаленные сухожилия, постепенно замещаются рубцом. Этот рубец является благоприятным местом для отложения кальциевых отложений, которые со временем образуют костный кальцинированный выступ – пяточную шпору, который можно легко увидеть на рентгеновском снимке.







После этого в силу своей нефизиологической формы, этот нарост постоянно давит и травмирует окружащие пятку ткани, вызывая при этом чувство боли и дискомфорта. У человека может меняться походка, так как он пытается ставить ногу таким образом чтобы не испытывать боль. Двигательная активность человека резко падает, что приводит к гиподинамии, плоскостопию, и других сопутствующим проблемам.






Пяточную шпору лечат консервативным, а в особо запущенных случаях и хирургическим способом. При консервативном способе больному назначают индивидуальные ортопедические стельки, ударно-волновую терапию(УВТ), лечебную гимнастику и массаж. В ортопедических стельках при этом специально создают мягкую пяточную область, позволяющую равномерно перенести нагрузку с больной области на всю область стопы, что приводит к уменьшению боли.







При изготовлении индивидуальных ортопедических стелек в нашем салоне, мы помимо индивидуализации стельки, приделываем демпфер в области пятки, который позволяет человеку с пяточной шпорой чувствовать себя очень комфортно.
Пяточная шпора и индивидуальные ортопедические стельки
Пяточная шпора – это кальцинированный нарост на пяточной кости, так называемый остеофит. Он может образоваться в результате травмы, ревматизма, плоскостопия, а также больших физических нагрузок, в результате чего нагрузка большей частью оказывается в области стопы. В эти моменты, сухожилия пятки надрываются и травмируются, при этом воспаленные сухожилия, постепенно замещаются рубцом. Этот рубец является благоприятным местом для отложения кальциевых отложений, которые со временем образуют костный кальцинированный выступ пяточную шпору, который можно легко увидеть на рентгеновском снимке.
После этого в силу своей нефизиологической формы, этот нарост постоянно давит и травмирует окружащие пятку ткани, вызывая при этом чувство боли и дискомфорта. У человека может меняться походка, так как он пытается ставить ногу таким образом чтобы не испытывать боль. Двигательная активность человека резко падает, что приводит к гиподинамии, плоскостопию, и других сопутствующим проблемам.
Пяточную шпору лечат консервативным, а в особо запущенных случаях и хирургическим способом. При консервативном способе больному назначают индивидуальные ортопедические стельки, ударно-волновую терапию(УВТ), лечебную гимнастику и массаж. В ортопедических стельках при этом специально создают мягкую пяточную область, позволяющую равномерно перенести нагрузку с больной области на всю область стопы, что приводит к уменьшению боли.
При изготовлении индивидуальных ортопедических стелек в нашем салоне, помимо индивидуализации стелек, мы приделываем демпфер в области пятки, который позволяет человеку с пяточной шпорой чувст-вовать себя очень комфортно.
Адрес нашего салона:
м. Китай-город (выход из метро №5)

Большой Златоустинский пер., д. 8/7, стр. 1.
3 этаж, кабинет 309

+7 (926) 824-34-40
(50 метров от метро. Выход из метро #5. Ориентир магазин Клеопатра. Коричневая железная дверь с домофоном)
Адрес нашего салона:
Большой Златоустинский пер, д. 8/7, стр. 1
(50 метров от метро. Выход из метро #5. Ориентир магазин Клеопатра. Коричневая железная дверь с домофоном)
Тел.: (926) 824-34-40
Made on
Tilda